Orthodontics in Hayes

Orthodontic care for children and adults. 

At Hayes Dental Specialists we have an orthodontist providing the whole family with a range of bespoke orthodontic treatments, such as traditional fixed braces, Invisalign clear aligners, hidden/lingual braces.

We work with state of the art technology to create treatment plans for children, teens and adults to ensure a beautiful healthy smile for life. 

    Hayes Dental Specialists Private Dentists Clear Braces

    Teeth straightening solutions

    How your teeth look can affect your self confidence, and making the decision to straighten your teeth can be exciting and a little daunting. You may be excited about having a new, straight smile, but concerned about how you will look while your teeth are changing. 

    Our dentists will discuss all the options with you to find the best solution. Have a look below at our two most popular options, Invisalign and Inman aligners.

      Invisalign®

      Invisalign® is a discreet way to straighten your teeth, using a series of clear removable aligners.

        Fixed ceramic braces

        These braces use tooth-coloured or clear ceramic brackets, so they’re less visible and more aesthetically pleasing. They work like metal braces and are suitable for most cases.

            Results that speak for themselves:

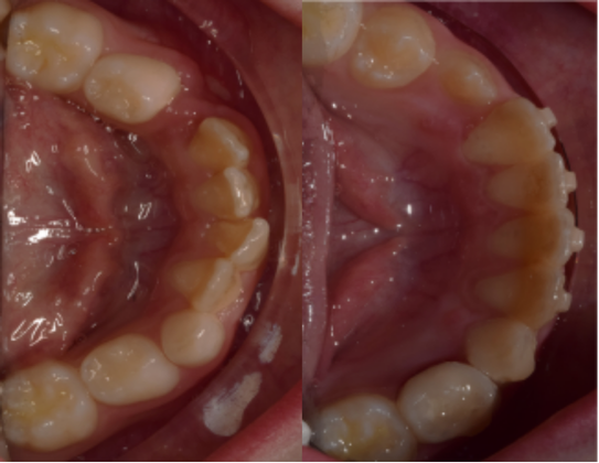
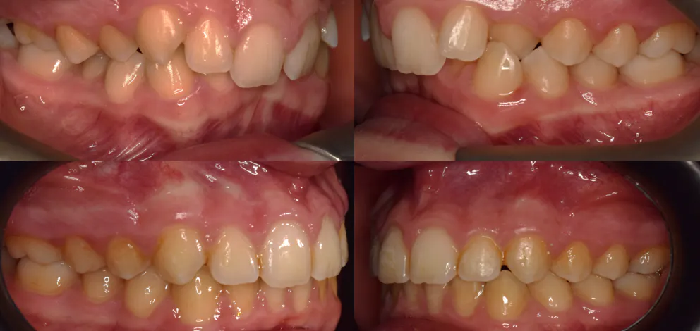
            Case 1,case 2 and Case 3: Dental crowding happens when there isn’t enough space in the jaw for all the teeth to line up properly. This can cause teeth to overlap, twist, or become difficult to clean, increasing the risk of decay and gum problems. With orthodontic treatment, we can create space and carefully guide the teeth into healthier, more balanced positions. Depending on the case, this may involve braces or aligners, space-gaining techniques, or a combination of treatments to achieve the best result.

            Case 4: Intervening early using Rapid Maxillary Expansion (RME) is a common orthodontic treatment used to widen the upper jaw when it’s too narrow. It’s most effective in children and early teenagers, while the bones of the jaw are still growing and can be gently guided into a wider position. A small, custom-made appliance is placed on the upper teeth and gradually activated over a short period of time. This creates more space in the upper arch, helping to relieve crowding, improve the bite, and create room for teeth to align properly.

            Case 5: Invisalign First is designed for children with a combination of baby teeth and adult teeth. This is an important window of opportunity, because the jaws are still growing and we can gently guide dental and jaw development in the right direction. Early interceptive treatment allows us to create space, improve alignment, and correct developing problems before they become more serious. By starting at the right time, Invisalign First can significantly reduce the risk of severe crowding, bite problems, and the need for more complex treatment later on. In many cases, this early approach can also help avoid the need for removing teeth in the future. Interceptive orthodontic treatment isn’t just about straightening teeth early—it’s about setting the foundation for healthier, simpler, and more stable orthodontic results as your child grows.

            Our teeth straightening dentists


            Dr. Leena Shibl

            DWSI Orthodontist BDS, (Future University) 2015, MSc Ortho 2023, MOrth RCS (eD) 2024

            Dr. Leena Shibl is an experienced dentist with a Master's degree in orthodontics, priding herself on her patient-centric and research-based approach to treatment. Graduating with top honours from Future University in Egypt, Dr. Leena has provided exceptional orthodontic care in multiple private practices over the past decade, successfully managing a wide range of cases. At Hayes Dental Specialists, Dr. Leena utilises cutting-edge technology, including intraoral scanners and 3D models, to clearly visualise and plan treatments. 

            This approach not only ensures precision but also allows patients to see their potential results, making them active participants in their orthodontic journey. With an MSc in Orthodontics, Dr. Leena has finalised her MOrth exam in orthodontics, further cementing her expertise in the field. She has also contributed to dental literature, with notable studies published. 

            Dr. Leena's commitment to excellence, clarity in treatment planning, and dedication to achieving the best outcomes for her patients ensures they feel comfortable and confident in placing their orthodontic journey in her care.

              Portman Dental Care Awards

              Fmc Logo 2019 Winner Oby M25
              Award Logo 2018
              Dental Industry Award - Portman Dental Care
              Private Dentistry Awards - Portman Dental Care
              The Dentistry Awards - Portman Dental Care
              Elite Practice Award - Portman Dental Care